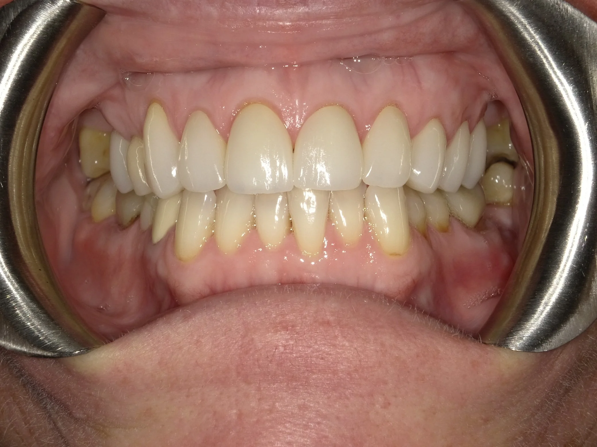
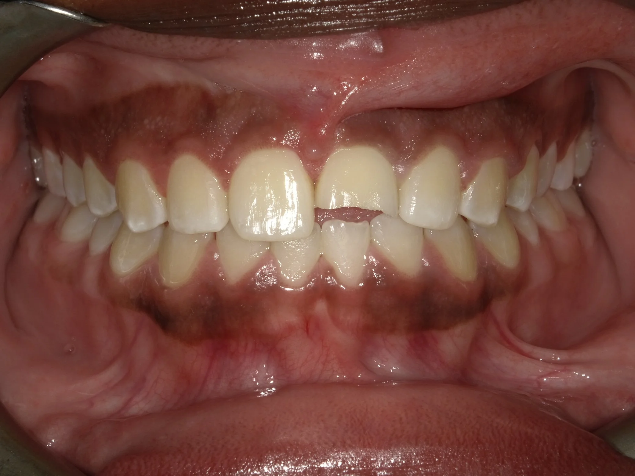
Smile Gallery Composite Bonding View fullsize BEFORE AFTER BEFORE AFTER Esthetic Crowns View fullsize BEFORE View fullsize AFTER Invisalign and SureSmile View fullsize BEFORE View fullsize AFTER